Cabinet d'orthodontie du Dr PHAN
Orthodontiste au PLESSIS ROBINSON
24 avenue Charles de Gaulle, 92350 LE PLESSIS ROBINSON
+33 1 40 83 00 00

Vidéos 3D - Page 3

Blanchiment au fauteuil

Blanchiment au fauteuil

Impact du brossage agressif sur l’usure des dents

Impact du brossage agressif sur l’usure des dents

Bruxisme et usure dentaire

Bruxisme et usure dentaire

Traitement orthodontique esthétique par gouttières

Traitement orthodontique esthétique par gouttières

Le cas spécifique de la luxation de la mâchoire

Le cas spécifique de la luxation de la mâchoire

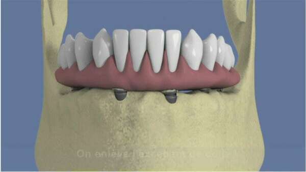
Fixation d’une prothèse par une barre sur 4 implants

Fixation d’une prothèse par une barre sur 4 implants

Extraction et implantation immédiate – mise en esthétique directe

Extraction et implantation immédiate – mise en esthétique directe

Traitement orthodontique : les règles du succès

Traitement orthodontique : les règles du succès

Traitement d'une carie par inlay/onlay

Traitement d'une carie par inlay/onlay

L'hygiène en orthodontie

L'hygiène en orthodontie

Mandibule complète et traitement implantaire pour un bridge fixe scellé

Mandibule complète et traitement implantaire pour un bridge fixe scellé

Eclaircissement ambulatoire

Eclaircissement ambulatoire

Affichage des articles 25-36 sur 74